Najcichszy rezonans magnetyczny na rynku!
Ciche badania z Pianissimo™ i Pianissimo™ Zen.
Technologia Pianissimo™ redukuje hałas wewnątrz i na zewnątrz MRI aż o 33 dB dla każdego pacjenta, każdej sekwencji, w każdym momencie dzięki komorze próżniowej, otaczającej cewkę gradientową SuperSlim Gradient, której skuteczność jest niemożliwa do osiągnięcia przy zastosowaniu materiałów konstrukcyjnych (izolacyjnych).
Wyciszone sekwencje Pianissimo™ Zen dodatkowo zmniejszają poziom hałasu aż o 99%*, umożliwiając wykonywanie badań w praktycznie bezgłośnych warunkach.
* W zależności od warunków oraz typu badania.

Sekwencje 3D jeszcze ciszej – z mUTE*
Aplikacje mUTE wykorzystują wolniejsze impulsy gradientowe, dając możliwość wykonywania cichszych skanów.
*mUTE: minimized acoustic noise utilizing UTE



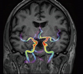
Uchwyć hemodynamikę w bezgłośnej akwizycji dzięki mUTE 4D MRA
Sekwencje UTE w systemie Vantage Galan™ 3T charakteryzują się krótszym czasem powrotu fazowego i tym samym bardziej jednorodnym sygnałem z naczyń krwionośnych. Jednocześnie, wykorzystanie wielu czasów TI (4D) tworzy obrazy dynamiczne, które wizualizują przepływ krwi bez konieczności korzystania ze środków kontrastowych.



Większe poczucie swobody z MR Theater
MR Theater
Dzięki systemowi MR Theater uwaga pacjenta jest skupiona na uspokajających projekcjach wizualnych, przez co nie odczuwa on efektu przesuwu stołu, jest spokojniejszy i wykonuje mniej ruchów podczas badania, przez co pomaga w uzyskaniu badań najwyższej jakości.
Opatentowana technologia MR Theater dzięki sferycznej konstrukcji ekranu projekcyjnego zapewnia hiperrealistyczne wrażenia obrazu przestrzennego, niemożliwe do uzyskania z wykorzystaniem klasycznych lusterek i płaskich ekranów LED/LCD.
MR Theater może być stosowany w dowolnej konfiguracji cewek, w tym cewek do głowy z opcją „tilt”, co zapewnia wysoki komfort również w przypadku pacjentów bariatrycznych.
MR Theater jest kompatybilny z systemami fMRI




